Testi: Kaikki solut

Testissä 15 kuvaa. Tunnista solu ja valitse annetuista vaihtoehdoista oikea. Ei aikarajoitusta.

ALOITA

Takaisin testin valintaan

Right Oikein!

False Väärin!

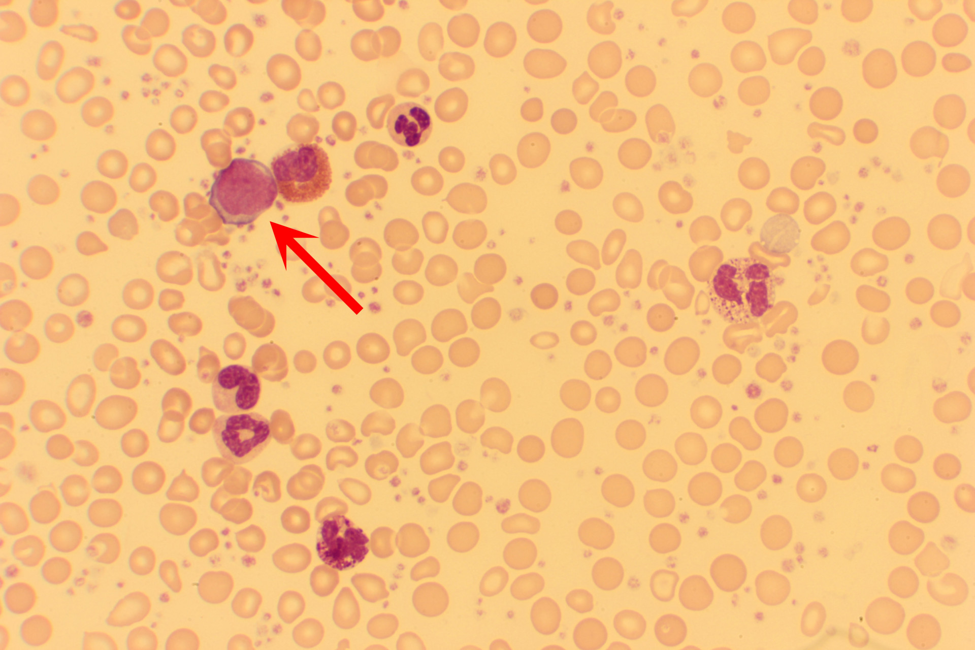
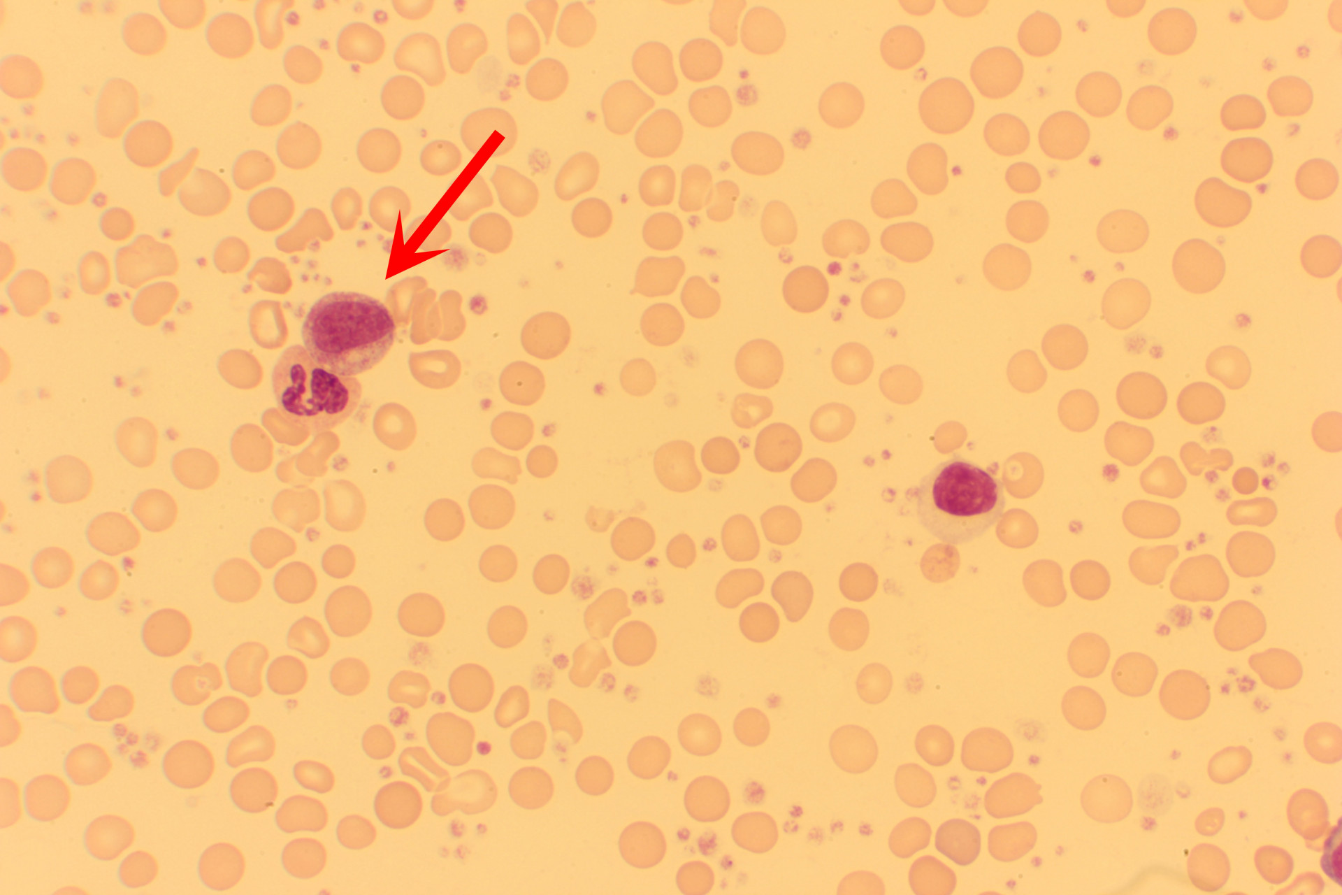
Mikä solu?
Klikkaa suuremmaksi
© 2019 Katariina Onnela & Pauliina Pukema

Väärin!

Vastasit:

Oikea vastaus:

Seuraava kysymys

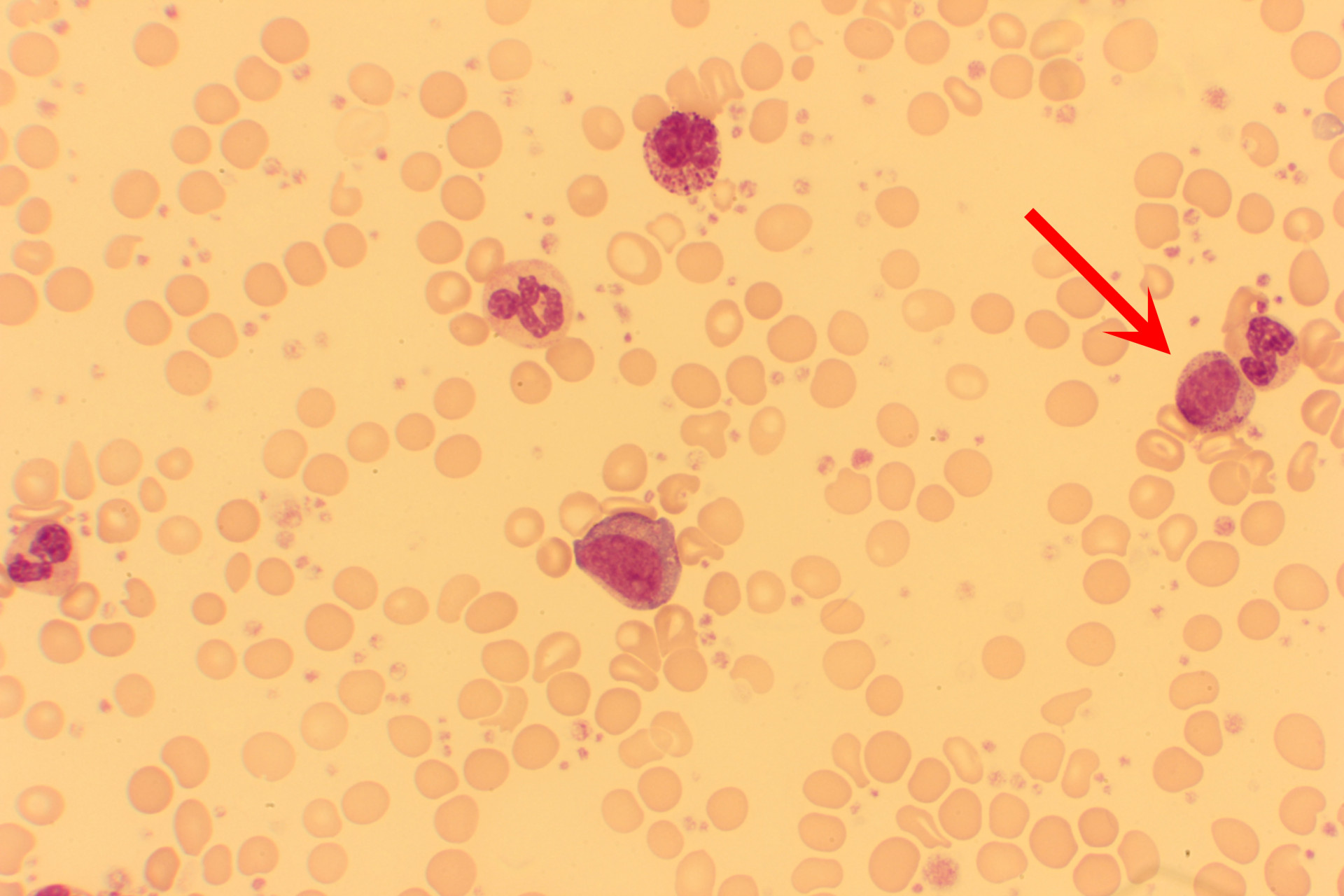
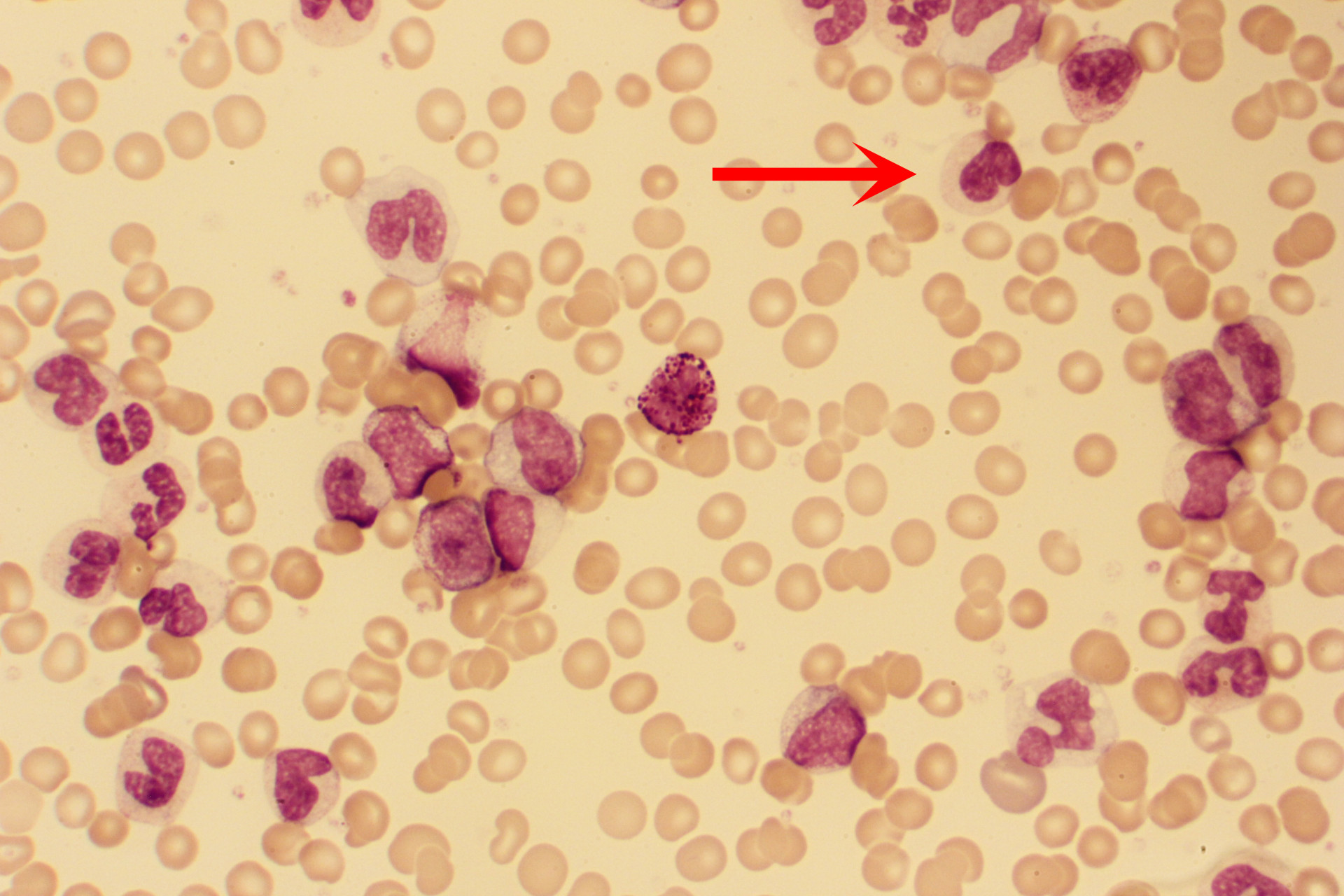
Mikä solu?
Klikkaa suuremmaksi
© 2019 Katariina Onnela & Pauliina Pukema

Väärin!

Vastasit:

Oikea vastaus:

Seuraava kysymys

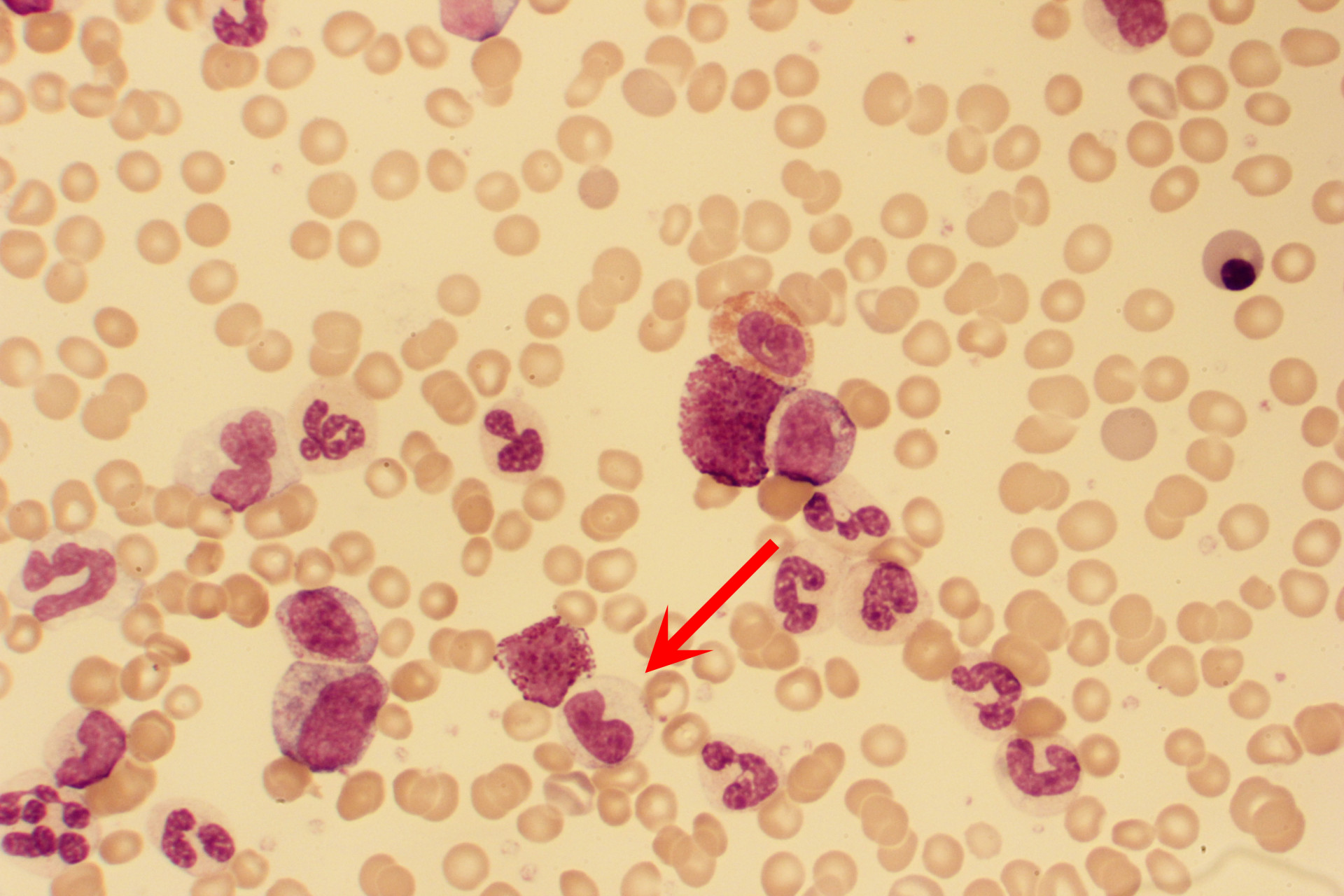
Mikä solu?
Klikkaa suuremmaksi
© 2019 Katariina Onnela & Pauliina Pukema

Väärin!

Vastasit:

Oikea vastaus:

Seuraava kysymys

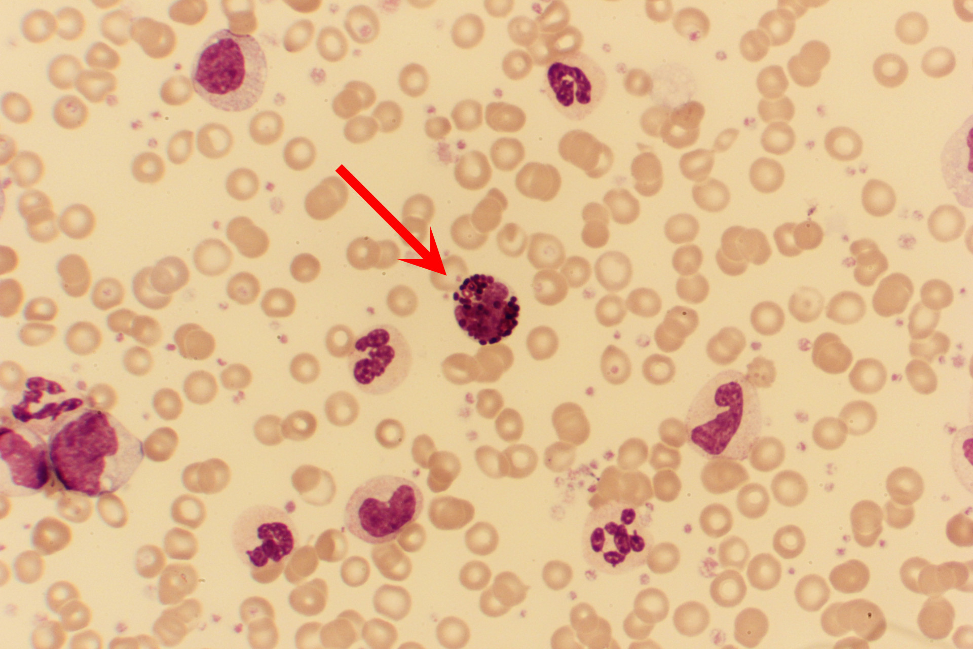
Mikä solu?
Klikkaa suuremmaksi
© 2019 Katariina Onnela & Pauliina Pukema

Väärin!

Vastasit:

Oikea vastaus:

Seuraava kysymys

Mikä solu?
Klikkaa suuremmaksi
© 2019 Katariina Onnela & Pauliina Pukema

Väärin!

Vastasit:

Oikea vastaus:

Seuraava kysymys

Mikä solu?
Klikkaa suuremmaksi
© 2019 Katariina Onnela & Pauliina Pukema

Väärin!

Vastasit:

Oikea vastaus:

Seuraava kysymys

Mikä solu?
Klikkaa suuremmaksi
© 2019 Katariina Onnela & Pauliina Pukema

Väärin!

Vastasit:

Oikea vastaus:

Seuraava kysymys

Mikä solu?
Klikkaa suuremmaksi
© 2019 Katariina Onnela & Pauliina Pukema

Väärin!

Vastasit:

Oikea vastaus:

Seuraava kysymys

Mikä solu?
Klikkaa suuremmaksi
© 2019 Katariina Onnela & Pauliina Pukema

Väärin!

Vastasit:

Oikea vastaus:

Seuraava kysymys

Mikä solu?
Klikkaa suuremmaksi
© 2019 Katariina Onnela & Pauliina Pukema

Väärin!

Vastasit:

Oikea vastaus:

Seuraava kysymys

Mikä solu?
Klikkaa suuremmaksi
© 2019 Katariina Onnela & Pauliina Pukema

Väärin!

Vastasit:

Oikea vastaus:

Seuraava kysymys

Mikä solu?
Klikkaa suuremmaksi
© 2019 Katariina Onnela & Pauliina Pukema

Väärin!

Vastasit:

Oikea vastaus:

Seuraava kysymys

Mikä solu?
Klikkaa suuremmaksi
© 2019 Katariina Onnela & Pauliina Pukema

Väärin!

Vastasit:

Oikea vastaus:

Seuraava kysymys

Mikä solu?
Klikkaa suuremmaksi
© 2019 Katariina Onnela & Pauliina Pukema

Väärin!

Vastasit:

Oikea vastaus:

Seuraava kysymys

Mikä solu?
Klikkaa suuremmaksi
© 2019 Katariina Onnela & Pauliina Pukema

Väärin!

Vastasit:

Oikea vastaus:

Seuraava kysymys

TULOS

Oikein: 1

Vastauksesi:


Palaa alkuun Pelaa uudelleen